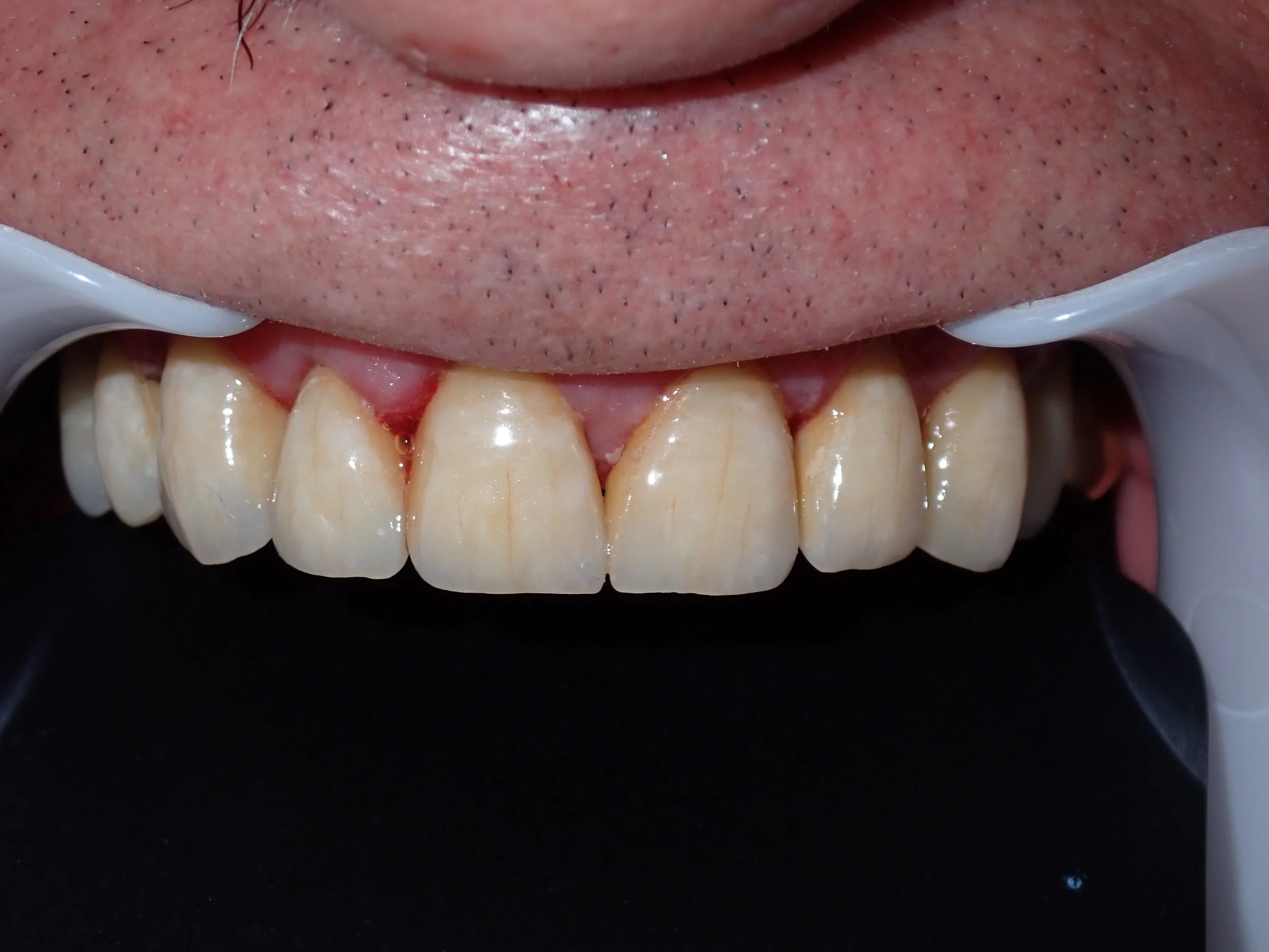
Full Mouth Rehabilitation
Full mouth rehabilitation may sound scary, but it simply refers to combining multiple restorative dental treatments to rebuild your smile. Full mouth rehabilitation may be required if you have periodontal disease, infected teeth, tooth loss, or damaged teeth. The goal of full mouth rehabilitation is to not only produce a beautiful smile but to also restore your oral health.
Everyone’s full mouth rehabilitation will look a little different depending on their specific needs. We will create a customized treatment plan to create a healthy, stunning smile that lasts a lifetime. We will always strive to make each treatment plan as conservative and minimally invasive as possible.
Your treatment plan may include:
- Crowns 
- Dental implants 
- Bridges 
- Extraction 
- Porcelain veneers 
- TMJ treatment 
- Root canals 
We offer a full range of services to help return your mouth to tip-top shape. Schedule a consultation today to learn more about full mouth rehabilitation.
